dental-bridges
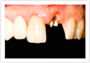
Applied Procedures:
Porcelain Crowns, Dental Bridges
![]() |
![]() |
| Before Photo | After Photo |
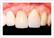
Applied Procedures:
Dental Bridges
![]() |
![]() |
| Before Photo | After Photo |



